Tooth Pain Treatment Near Me in Indianapolis, IN
When tooth pain arises, the anxiety and discomfort can be overwhelming. A compassionate and attentive dental practice understands this and prioritizes creating a calming and supportive environment. From the moment you step into the office, you should feel reassured that your well-being is their top concern. The staff’s focus on your comfort extends to every …
Read More
Emergency Dental Appointments Near Me in Indianapolis, IN
Emergency Dental Appointments Near Me When something unexpected happens with your teeth or gums, you want to know you’re turning to a dentist who is both highly skilled and genuinely focused on your well-being. Dental emergencies can be stressful, but a professional who has experience, confidence, and compassion can make all the difference. The right …
Read More
Best Emergency Dentist Near Me in Indianapolis, IN
Best Emergency Dentist Near Me When you’re in pain or dealing with a dental emergency, you are the top priority. The best emergency dentist near you will not only treat the problem quickly—they’ll also help you feel safe, supported, and cared for every step of the way. Knowing you have someone to count on during …
Read More
Best Emergency Dentist in Indianapolis, IN
Best Emergency Dentist When you’re in pain or facing an unexpected dental issue, getting help becomes your top priority. The best emergency dentist is someone who can respond quickly, treat you with compassion, and help you feel at ease through every step of your care. Having a trusted professional nearby can turn a stressful moment …
Read More
Tooth Pain Treatment Near Me in Indianapolis, IN
A vibrant, pain-free smile is the cornerstone of confidence and well-being. When tooth pain disrupts this, it impacts more than just your oral health; it affects your daily life and overall happiness. Addressing tooth pain promptly and effectively is essential for restoring your comfort and preserving the beauty of your smile. A skilled dentist can …
Read More
Emergency Dental Appointments Near Me in Indianapolis, IN
Emergency Dental Appointments Near Me When you’re in pain or facing a dental emergency, your comfort matters more than ever. Whether it’s unexpected discomfort or a sudden injury, it helps to know there’s a dental practice nearby that is ready to welcome you with comprehensive and compassionate care. From the moment you call to the …
Read More
Best Emergency Dentist Near Me in Indianapolis, IN
Best Emergency Dentist Near Me When something unexpected happens to your smile, finding the best emergency dentist near you can make all the difference. A dental emergency doesn’t just affect your teeth—it can impact your comfort, your confidence, and your ability to go about your day. Quick, reliable care helps restore your smile and your …
Read More
Best Emergency Dentist in Indianapolis, IN
Best Emergency Dentist When something unexpected happens to your teeth or gums, knowing where to turn makes all the difference. The best emergency dentist is someone who can help you feel calm, cared for, and confident—even in a stressful situation. Acting quickly and getting the right care can help preserve your smile and relieve discomfort …
Read More
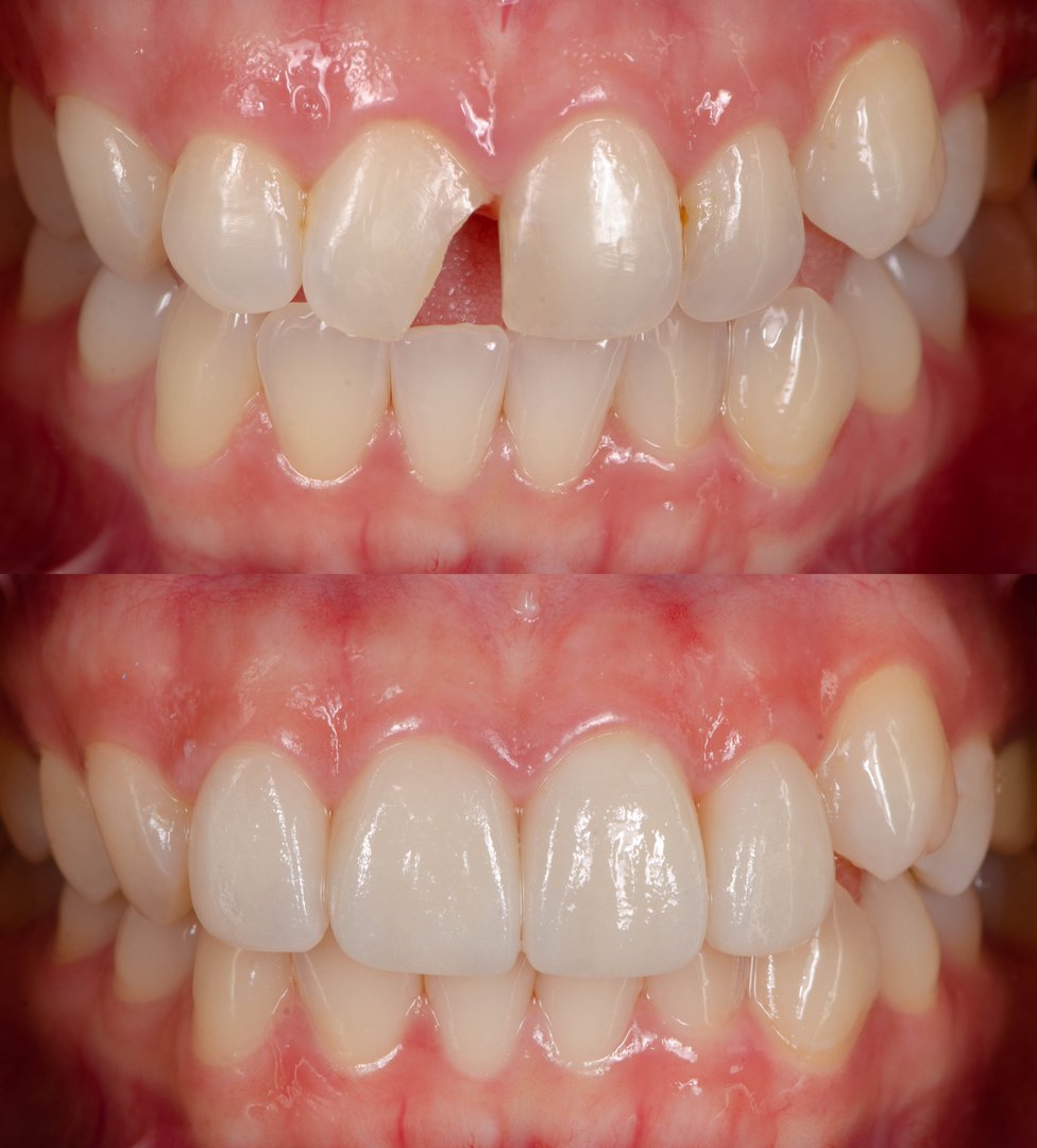
Fractured-Cracked-Tooth in Indianapolis
Cracked/Fractured Tooth Have you suffered a cracked tooth? At our office, we offer treatments based on the condition of your tooth and the type of crack. If your crack is too deep, we can schedule an emergency appointment so that you get immediate treatment. Treatment will depend on the type of crack. Treatments for a …
Read More
Emergency Tooth Extraction in Indianapolis
Emergency Tooth Extraction Do you have a severe toothache? Have you suffered a dental accident? You may need emergency tooth extraction services. At our office, we do emergency tooth extraction for patients who have a damaged tooth that can’t be saved. We do everything possible to save your tooth but if the damage is severe …
Read More